Fotogalerie MEDEVAC - Jordánsko / Ústřední vojenská nemocnice - ORT a ORL

 

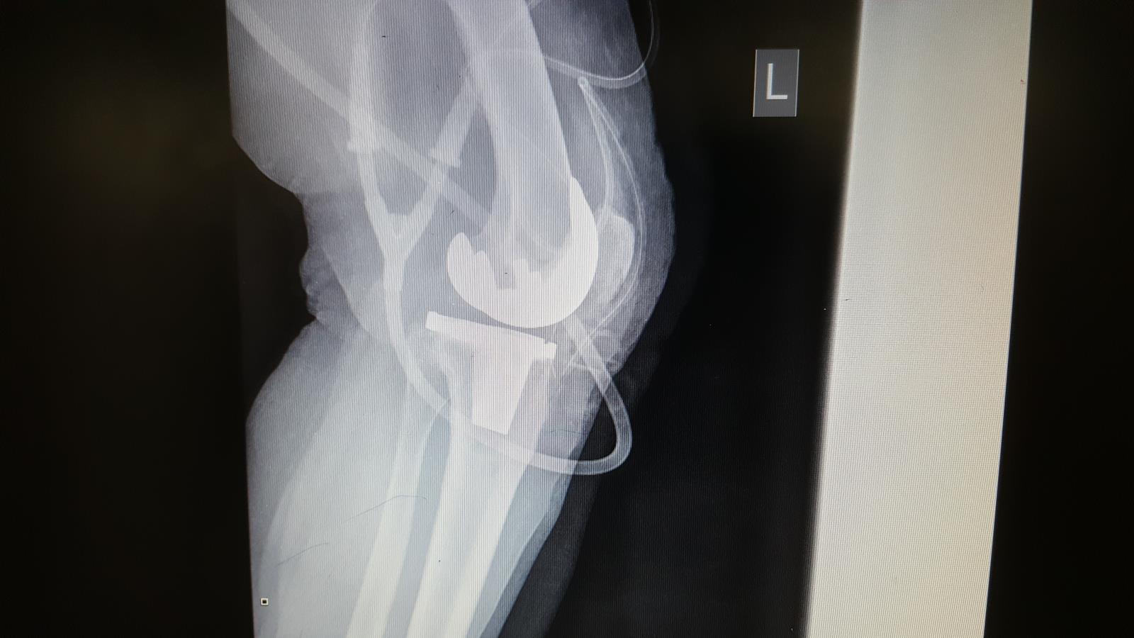
Rentgen po rekonstrukci

 

ORT_10.jpg ORT_11.jpg ORT_12.jpg

Stránkování: Počet fotografií: 27 / 4 | 1 2 3 4 |